Signed in as:
filler@godaddy.com
Signed in as:
filler@godaddy.com
DIAGNOSING THE VISUAL HALLUCINATIONS ASSOCIATED WITH PROBABLE POSTERIOR REVERSIBLE ENCEPHALOPATHY SYNDROME (PRES) BASED ON CLINIAL PRESENTATION AND CT SCAN : A CASE REPORT
Case contributed by
Siti Nor Fadhlina Misron(1), Zahiruddin Othman(2)
(1) Hospital Permai, Ministry of Health, Johor Bahru, Johor, Malaysia
(2) Department of Psychiatry, School of Medical Sciences, Universiti Sains Malaysia, Kubang Kerian, 16150 Kota Bharu, Kelantan, Malaysia.
Abstract
We reported a case of a concomitant presentation of visual hallucinations, eclampsia, and posterior reversible encephalopathy syndrome (PRES) in a 17-year-old primiparous woman that pose a diagnostic dilemma to the attending physician. It is possible, however, for these conditions to co-exist and directly interrelated to each other as explained in the pathophysiology and radiological finding in this case. This case also addresses the limitation of many hospitals especially in developing country such as Malaysia where CT scan is available but MRI is scarce in less urbanized hospital’s location.
Keywords: Posterior reversible encephalopathy syndrome (PRES); visual hallucinations; eclampsia.
Introduction
Posterior reversible leukoencephalopathy syndrome (PRES) is a rare clinico-radiological syndrome. The exact incidence of PRES is unknown. It is slightly more common in females with a male-to-female ratio of 0.8:1. The mean age at presentation is 44 years with an extended age range of 14 to 78 years (1). The main neuroimaging finding is posterior white matter edema, often with symmetrical involvement of the parietal and occipital lobes due to vascular cerebral dysregulation. Nevertheless, PRES can be associated with several conditions, including acute or chronic renal failure, blood transfusion, organ transplant, infection, autoimmune disorders, immunosuppression, and puerperal eclampsia. The presentation varied depending upon the brain localization involved. It typically presents with rapid onset of symptoms including headaches, seizures, and visual disturbance (2). When the only symptom is an isolated visual hallucination, the clinician has to be vigilant to distinguish it from psychotic disorder or delirium. If promptly recognized and treated, the clinical syndrome usually resolves within a week and the neurological changes resolve over days to weeks (2). This case illustrated how in a limited radiological setting, the probable PRES is diagnosed based on clinical presentation and CT scan finding.
Case report
A 17-year-old married primiparous Bajau Laut lady presented with visual hallucinations on day 3 postpartum. She was referred for a psychiatric evaluation. The pregnancy was uneventful until 34 weeks of gestation. At 35 weeks of gestation, she first saw a black figure pacing back and forth for about 2 minutes before it suddenly vanished. The lighting was adequate and there was no external stimulus to be mistaken as the figure. At the same time, she also had mild abdominal discomfort, generalized pulsating headache, blurred vision, and disturbed sleep which persisted for a week. Thinking the condition was benign, she did not seek any medical help. There were no other psychotic symptoms including Schneider’s first-rank or impairment of daily activities.
At 36 weeks of gestation, she presented to the emergency department with a history of three episodes of generalized tonic-clonic seizures within two days. The blood pressure was 154/84 mmHg. She had spontaneous vaginal delivery, was treated for eclampsia and intubated for two days.
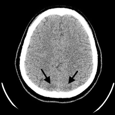
On day 1 post-extubation, she again saw the black figure pacing around in the ward for two hours continuously before it abruptly vanished. She panicked and attempted to abscond from the ward. There were no other psychotic symptoms, headache or blurred vision. Social interaction and cognitive functions were intact. The orientation and consciousness level were good. The blood pressure was normotensive 136/84mHg with oral labetalol 200mg ter die sumendum. There was haemolytic anaemia indicated by lowering of haemoglobin from 10.7 g/dL on admission to 8.16 g/dL in the absence of bleeding. The liver enzymes were raised and the platelet lowered but both normalized within a week of postpartum. Urine protein was positive. These results were suggestive of HELLP (Hemolysis, Elevated Liver Enzymes, and Low Platelet Count) Syndrome associated with the eclampsia. Brain CT scan revealed hypodense areas at bilateral posterior parts of occipital lobe suggestive of PRES. Brain MRI was not proceed due to unavailability at the district hospital.
In view of the transient and isolated visual hallucinations without functional impairment, the psychiatric diagnosis was visual hallucinations due to PRES. Reassurance and psychoeducation regarding conservative management were given to the patient and relatives who showed good support for her. The visual hallucinations did not recur up to the last follow-up at two months postpartum.
Discussion
Since PRES is a clinico-radiological diagnosis, the radio imaging of the brain is essential to confirm the diagnosis. In this patient, the CT brain showed hypodense areas at bilateral posterior parts of the occipital lobe which is the typically affected area in PRES accounting for 22% of all cases. The posterior occipital lobe is the watershed area of the posterior cerebral artery. Thus, it is vulnerable to cerebral hypoperfusion (3). The putative pathophysiology is that a sudden rise in blood pressure triggers severe vasoconstriction leading to cerebral hypoperfusion due to the reduction of the cerebral blood flow. The cerebral hypoperfusion activates the release of endothelial agonist, vasodilators, catecholamines, vasopressin, thromboxane and endothelin I. These substances trigger the renin-angiotensin-aldosterone system and result in the release of pro-inflammatory cytokines which are directly cytotoxic to the vessel wall. The damage impairs the blood-brain barrier function and causes cerebral vasogenic edema (3).
As the occipital lobe also accommodates the visual pathway. It explains the visual disturbances such as blurring of vision, cortical blindness, or visual hallucinations that affect 3% of patients with PRES (2). In this case, visual hallucinations were the chief complaint which raised the possibility of postpartum psychosis. The clues towards organic cause were the terrified attitude towards the hallucinations with a desperate attempt to abscond from the ward, close temporal association between the visual hallucinations and the onset of eclampsia, and the direct association between the type of hallucinations and the localization of the brain pathology. The terrified attitude towards the hallucination suggests an abrupt onset with intact reality testing which is uncommon in pure psychiatric disorders. Eventhough the symptoms was acute and occurred only at night, delirium was unlikely due to the absence of inattentiveness, clouding of consciousness and disorientation (4).
Nevertheless, a definite diagnosis of PRES would require evidence of complete resolution of the hypodense areas preferably using the MRI, which was not available at that time in the district hospital. Notwithstanding, PRES was likely the diagnosis in this case based on the clinical presentation and the suggestive finding on CT brain, thus the term ‘probable PRES’ is used for this case. We propose that in many hospitals without MRI services, the psychiatrists shall rely on the clinical presentation and CT scan may assists shall the suspicion of PRES is imminent. The management of PRES secondary to eclampsia is by the delivery of the fetus and placenta and treating the eclampsia itself. The visual hallucinations are temporary and will resolve along with the resolution of the insult to the brain (3). Therefore, no antipsychotic was needed for the patient. As the patient was considering to breastfeed her child, the ability to diagnose PRES with visual hallucinations had prevented the unnecessary administration of class C antipsychotic during breastfeeding (5).
Conclusion
Visual hallucination is not uncommonly encountered and prematurely mistaken as a definite symptom of a psychiatric illness. Thus, it is important for the physician either in the primary or tertiary care centre to differentiate the organic from psychotic causes of visual hallucinations. This is to ensure the appropriate management is delivered efficiently and to avoid unnecessary treatment.
Acknowledgment
We would like to thank the Director General of Health Malaysia for his permission to publish this article.
References
PUBLISHED ON 01/12/2025

Figure 1: Brain CT scan showed hypodense area at posterior parts of the bilateral occipital lobes
Neuropsychiatry Malaysia ©
Copyright © 2026 Neuropsychiatry Malaysia - All Rights Reserved.
We use cookies to analyze website traffic and optimize your website experience. By accepting our use of cookies, your data will be aggregated with all other user data.
